気になる歯並びも
最短3ヶ月で
キレイな歯並びに!
-
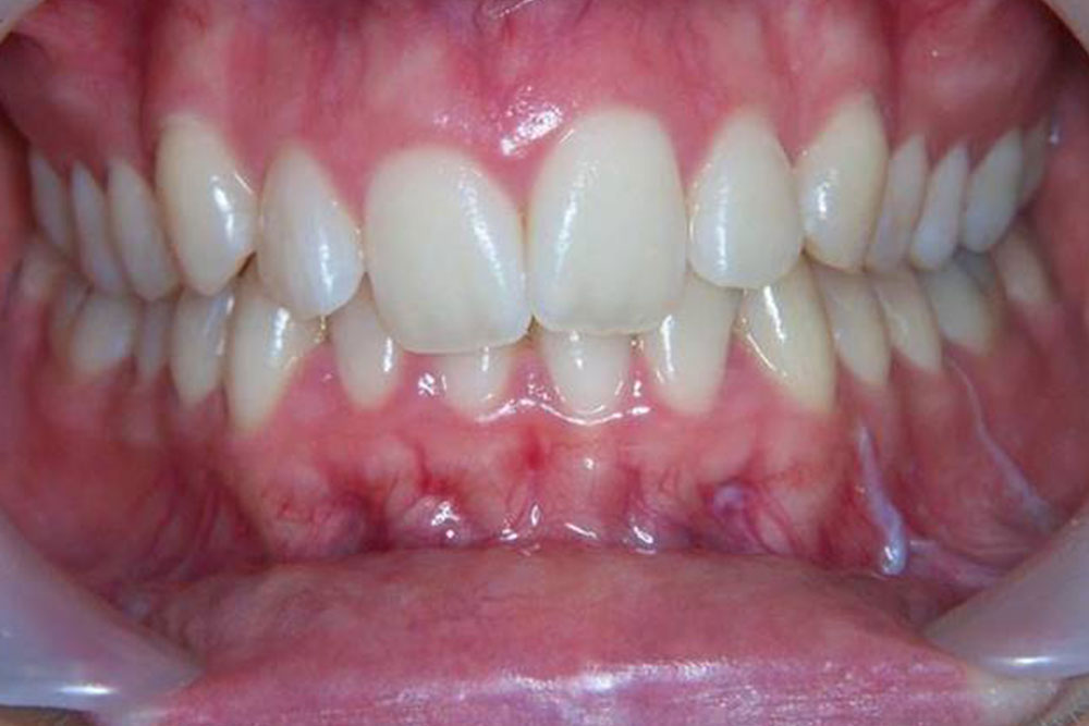
ガタガタ歯
や八重歯 -
出っ歯
-
受け口
-
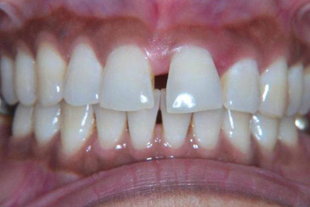
すきっ歯
-
前歯で口が
閉じない -
中心が
ずれている -
噛み合わせが
深い
様々なケースの患者様に
ご来院いただけています。
全国で8医院展開
WEBからのご成約の方へ
ホワイトニング剤 1本プレゼント
月々3,800円
税込
分割84回払い
※相模原、戸田、春日部医院では
キャンペーンを実施しておりません。
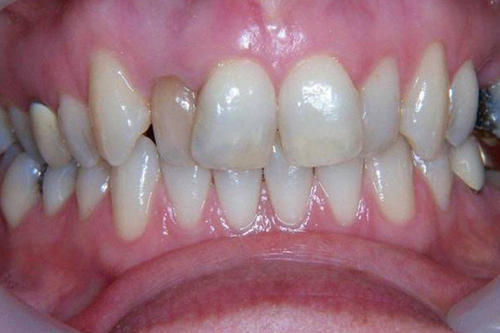
ガタガタ歯
や八重歯
出っ歯
受け口
すきっ歯
前歯で口が
閉じない
中心が
ずれている
噛み合わせが
深い
様々なケースの患者様に
ご来院いただけています。
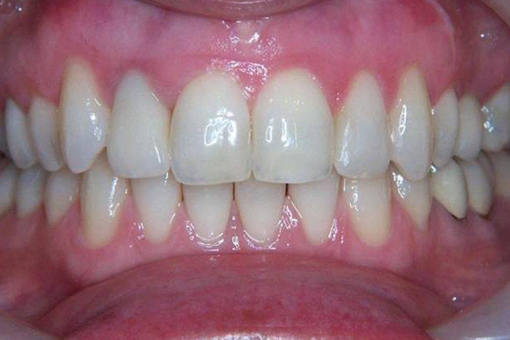
月々3,400円から手軽に始められるマウスピース矯正です。
マウスピースを利用してホワイトニングを行うことができます。
患者さまのご希望をお聞きし、最適な治療プランをご提案します。
ご自分で着脱でき、お食事などの場面に合わせて取り外せます。
透明に近いので、ワイヤー矯正に比べて目立ちにくいです。
矯正専門の医院とは異なり、歯周病や虫歯の対応も可能です。
マウスピース矯正とは、前歯10本ずつをピンポイントで動かす矯正治療のことです。
マウスピース矯正で使用しているブランド「スマイルトゥルー」は、世界各国でも高い評価を受けている実績のあるマウスピース矯正システムですので、治したいのが前歯だけなら基本的に適応可能です。

歯並びのことでお悩みのこと、不安なこと、どんな小さなことでも構いません。
私は常に患者さんのお話をお聞きする立場におりますので、「こんなこと聞いてもいいのかな?」と思えるようなことでも、遠慮なく何でもおっしゃって下さい。
激安の治療費にお気をつけください。
マウスピース矯正に対応する医院が増え、価格の安さだけをアピールする「価格競争」が激化しています。
しかしながら、格安な治療費には必ず原因があります。必要な治療工程を省いたり、悪質な素材を使用したりなど理由はさまざまです。
矯正治療を受けられる方はご注意ください。
複数のクリニックを比較する場合、最初のご相談は当院が便利です。
初診相談をマウスピース矯正専門ドクターが無料で行うので、コストを抑えてあなたのお口の状態が分かります。
米国発の世界各国で実績のある
矯正システム「スマイルトゥルー」と、
従来の金属を使用したワイヤー矯正との
違いについてご紹介します。
|
ワイヤー矯正 | 裏側矯正(ワイヤー) | |
|---|---|---|---|
| 目安総額 | 20〜60万円 | 60〜90万円 | 100万円前後 |
| 見た目 | 透明で目立たない | 金属が目立つ | 裏側なので目立たない |
| 痛み | ほとんど痛みなし | 締め付けるような痛みあり | 締め付けるような痛みあり |
| 期間 | 3ヶ月〜8ヶ月 | 1年〜3年 | 1年〜3年 |
| 取り外し | 可能 | 不可能 | 不可能 |
| 特徴 | 前歯各10本を重点的に治療 | 全顎治療 | 全顎治療 |
一人一人のライフプランに合わせ、
お支払いは自由自在です。
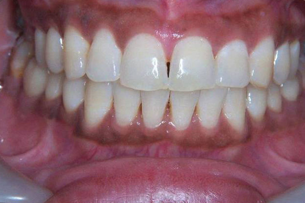
スマイルトゥルーは、アメリカ発の世界各国で実績のあるマウスピース矯正システムです。
今までの矯正装置とは違い、目立たず、違和感やストレスが少なく、
リーズナブルな治療費で矯正治療を行うことが可能です。
275,000円(税込)
分割のお支払いはこちら
440,000円(税込)
分割のお支払いはこちら
|
|
|---|---|
| 施術範囲 | 上顎10本・下顎10本
|
| 施術適応 | 全て |
| 治療期間 | 3ヶ月〜8ヶ月 |
Reason1
従来のワイヤー矯正と比べて、マウスピース矯正は月額3,800円(税込)〜とリーズナブルです。
Reason2
スマイルトゥルーの治療期間は3ヶ月〜8ヶ月程度です。
Reason3
マウスピースは透明なので、周りに目立つことなく、お食事の際にもご自分で取り外しが可能です。
Reason4
マウスピース矯正「スマイルトゥルー」は、米国発の世界各国で実績のあるマウスピース型(アライナー)矯正システムです。
Reason5
治療を始める前に、最終的な歯並び予測を3D画像上で確認することができ、納得してからスタートできます。
カスタムメイドの透明なマウスピース型矯正装置です。歯に装着し、定期的に交換することで少しずつ位置を移動させ、歯並びを整えていきます。
歯科医院からの案内に従い、装着期間と1日の装着時間を守ってご使用ください。
スマイルトゥルー矯正のアライナーは治療終了までを予測し患者様の同意を得てから、全て一括で製作され歯科医院へ納品となります。
そのためアライナー製作依頼後の、キャンセル・返品を承る事ができませんのでご理解を賜りますようお願い申し上げます。
治療を始める前に、最終的な歯並び予測を3D画像上で確認することができ、納得してからスタートできます。
〒166-0003
東京都杉並区高円寺南4-29-2-3-D
ミヤシタビル高円寺メディカルプラザ3-D
JR中央線『高円寺駅』南口徒歩3分
TEL:03-5929-7650